曙光广华 衷心祝愿您拥有健康、和谐 、美满的生活!
健康热线:0769 - 8515 8883    急诊电话:0769 - 8515 9333

市社保

定点医院

社保异地

结算医院

市母婴保健产科

执业核准医院

市120急救中心

网点医院

你当前的位置是:

首页 >医院资讯 > 医院公告

【重磅】我院继引进西门子1.5T磁共振后,再度引进飞利浦128层Incisive AI CT!

【重磅】我院继引进西门子1.5T磁共振后,再度引进飞利浦128层Incisive AI CT!


undefined

undefined

飞利浦128层Incisive AI CT

全新投入使用!

影像技术再上新台阶!

undefined


undefined

为了更好服务于患者,提高疾病诊断准确率,东莞曙光广华医院引进全新飞利浦Incisive 64排128层螺旋CT,日前已全面投入使用。该设备功能强大,扫描速度快,图像质量高,辐射剂量低,检查范围广,能为临床提供更广泛而确切的诊治信息。












图片

CT

 具备的优势

01

宽敞空间,舒适体验

undefined

undefined


飞利浦Incisive AI CT拥有宽敞的检查空间,让患者在检查过程中更加舒适。

02

快速扫描,省时省心

同类CT中的佼佼者,扫描1周仅需0.35秒,旋转一圈可以获得128层图像,5秒内完成无创心脏检查,10秒内完成全身检查,且每次扫描辐射剂量及低。冠状动脉CTA使无创冠脉检查成为现实:短短数秒之内便可得到清晰,准确的冠脉影像,快速无创的诊断冠脉狭窄、斑块等病变。这意味着患者在受到尽可能少的辐射暴露的同时,医生也能迅速获取高质量的影像资料,从而加快诊断流程,为及时治疗赢得宝贵时间。

undefined

undefined

undefined

undefined

▲ 冠脉CTA:血管病变清晰可见


undefined

undefined

undefined

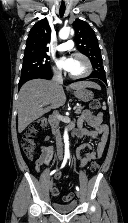
▲ 胸腹连扫、快速完成

03

智能控辐,守护健康

undefined


我们知道,辐射是很多人担心的问题之一。飞利浦Incisive AI CT拥有不限体型、不限部位的临床化低剂量成像,大幅抑制噪声的同时提高图像对比度,保障图像质量满足临床诊断要求。

undefined

undefined

undefined

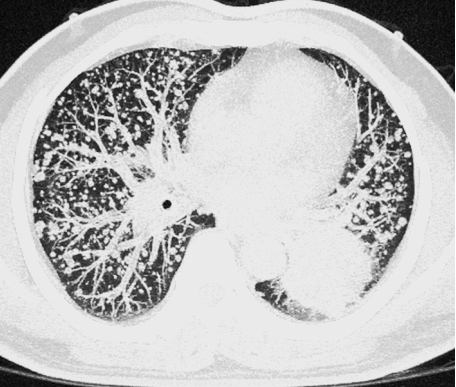
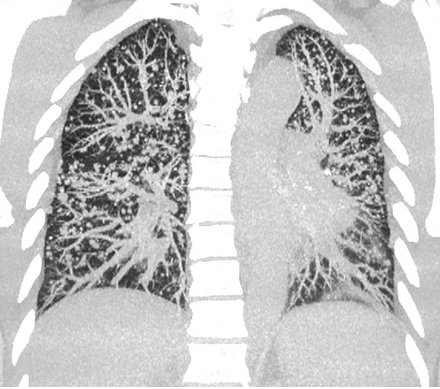
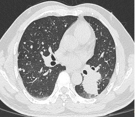
▲ 肺内结节、无处隐藏


04

高清成像,精准诊断

undefined


全身各部位血管造影:Incisive CT可以轻松实现大范围CT血管造影(CTA),准确了解血管及相关脏器的形态结构,评估血管及脏器功能,准确判断出血,栓塞、血管瘤、血管畸形、狭窄及肿瘤供血情况,为临床治疗提供极大帮助。

undefined

undefined

undefined

undefined

▲ 头颈部CTA、硬化斑块清晰显示


undefined

undefined

undefined

undefined

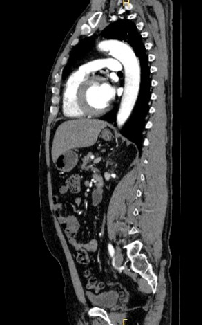
▲ 胸腹部CTA-主动脉夹层一目了然


05

3D重建,立体呈现

undefined


飞利浦Incisive AI CT还具备3D重建成像技术,能够将复杂的解剖结构以三维的形式呈现出来,为医生提供更为直观的视觉辅助,从而帮助医生更好地理解和解释病变情况,提升诊断准确性。

undefined

undefined

06

去伪能力强、成像更清晰

undefined


Incisive CT的O-MAR技术能消除金属伪影,能清晰显示移植物的位置及临近组织结构。

undefined

undefined

undefined

▲ 骨折术后、内固定器材清晰显示



undefined

undefined

放射科简介

undefined

放射科现有医生护士 10 名,其中副高职称 人,中级职称 3 人,初级职称 1 ,技师 人,护士 

undefined

undefined

放射科现有设备

undefined

飞利浦128层Incisive AI CT


undefined

西门子1.5T超导磁共振

undefined

数字化摄影(DR)机

undefined

韩国瑞丽口腔CT(CBCT)机

undefined

日本岛津胃肠机

undefined

数字DR体检车


undefined


东莞曙光广华医院放射科是我院重要医技科室之一,拥有实力雄厚的专业技术团队、国内外先进的医学影像设备。

开展项目有常规健康体检透视,全身各部位DR照片、各种造影检查,口腔全景CT检查、全身各部位CT和MR平扫及增强扫描。选择东莞曙光广华医院,就是选择高效、安全、舒适的医疗服务。我们竭诚为您的健康保驾护航!

undefined


友情链接 东莞市卫生局| 东莞卫生监督所| 东莞疾病预防控制中心|

Copyright©2018 东莞曙光广华医院 All Right Reserved.  ICP备案号:粤ICP备2023039918号  技术支持:晨明网络